• 设置菜单

肺爱团

靶向药基因检测及相关资讯

×
MENU
  • 基因突变检测
  • EGFR基因突变
  • T790M突变
  • TMB
现在位置首页
EGFR突变不可切除局部晚期NSCLC的德瓦鲁单抗巩固治疗II 新药资讯

EGFR突变不可切除局部晚期NSCLC的德瓦鲁单抗巩固治疗II

前天翻译了斯坦福癌症研究所的一个回顾性研究《EGFR和HER2突变不可切除局部晚期NSCLC的德瓦鲁单抗巩固治疗》,今天再翻译一篇相同作者的一个多中心回顾性研究。   ※基线特征 37例EGFR突变不...
02月13日 发表评论
阅读全文
EGFR和HER2突变不可切除局部晚期NSCLC的德瓦鲁单抗巩固治疗 新药资讯

EGFR和HER2突变不可切除局部晚期NSCLC的德瓦鲁单抗巩固治疗

PACIFIC三期研究显示,不可切除局部晚期NSCLC经放化疗后,进行一年的德瓦鲁单抗(Durvalumab)巩固治疗,相对安慰剂,中位PFS和总生存期均有显著提高,17.2月vs 5.6月,47.5...
02月11日 发表评论
阅读全文
奥希替尼同步胸部放疗时高比例的放射性肺炎 基因突变检测

奥希替尼同步胸部放疗时高比例的放射性肺炎

山东省肿瘤医院的一项回顾性研究,纳入了2018年1月至2019年12月间奥希替尼同步胸部放疗的11例EGFR突变晚期或转移性NSCLC患者,之前均无胸部放疗、间质性肺炎和免疫治疗史,临床特征见表1。 ...
01月26日 发表评论
阅读全文
一次筛出 8 种癌? 5 分钟搞懂「液体活检」是什么?怎么用? 基因突变检测

一次筛出 8 种癌? 5 分钟搞懂「液体活检」是什么?怎么用?

过去二十年间,随着对肺癌相关研究的深入,化学治疗、靶向治疗、免疫治疗等治疗手段不断推陈出新,肺癌治疗水平得到了长足的进步。而肺癌患者的精准治疗离不开分子生物学及诊断技术的发展,液态活检作为新兴的检测技...
01月25日 发表评论
阅读全文
【二代PD-1】PD-L1/TGF-β双抗试验终止 新药资讯

【二代PD-1】PD-L1/TGF-β双抗试验终止

文. 许柯 近日,德国默克宣布终止PD-L1/TGF-β双抗Bintrafusp alfa(M7824)的肺癌三期临床研究(INTR@PIDLung 037)。研究人员在对中期数据进行分析后认为M78...
01月25日 发表评论
阅读全文
第二代PD1-M7824 失败!非小细胞肺癌临床暂停 EGFR基因突变

第二代PD1-M7824 失败!非小细胞肺癌临床暂停

噩耗接连不断。。 还是败了。。 当年的结果依然时常被人津津乐道的提出来 其它适应症呢?压大还是压小  
01月20日 发表评论
阅读全文
“癌王”患者也能生存5年!最新研究证实,治疗方案并不是越复杂越好? EGFR基因突变

“癌王”患者也能生存5年!最新研究证实,治疗方案并不是越复杂越好?

胰腺癌又被称为“癌中之王”,是恶性程度最高的癌症之一。在全球范围内,胰腺癌的发病率未进入前十,但因胰腺癌死亡的患者数量位居所有类型癌症中第七位,在部分发达国家甚至可以达到第三位。 胰腺癌患者的整体5年...
01月20日 发表评论
阅读全文
一文概览小细胞肺癌免疫治疗的未来发展方向 EGFR基因突变

一文概览小细胞肺癌免疫治疗的未来发展方向

 小细胞肺癌(SCLC)是一种具有侵袭性和破坏性的恶性肿瘤,其特征是快速生长和早期转移。SCLC又可分为局限期SCLC(LS-SCLC)和广泛期SCLC(ES-SCLC)。虽大多数患者对一线化疗有反应...
01月13日 发表评论
阅读全文
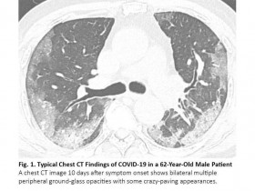
肺癌患者感染新冠肺炎COVID-19,胸部CT如何鉴别? 新药资讯

肺癌患者感染新冠肺炎COVID-19,胸部CT如何鉴别?

全球COVID-19病例已经有几千万例,死亡人数超过百万。约1%的COVID-19病例患有恶性肿瘤,1其中肺癌占相当大的比例。肺癌患者在感染COVID-19后往往会出现严重的病情,2这突出了准确、迅速...
01月11日 发表评论
阅读全文
原创新药FWD1509初探研究 EGFR基因突变

原创新药FWD1509初探研究

EGFR基因突变是NSCLC的主要驱动基因之一,目前临床上已经获批的EGFR靶向药物已经有第一、二、三代,但对于EGFR exon20插入突变的NSCLC患者,已有的EGFR靶向药物临床治疗效果有限。...
01月11日 发表评论
阅读全文

文章导航

第 1 页 第 2 页 第 3 页 第 4 页 第 5 页 第 6 页 第 7 页 第 8 页 第 9 页 第 10 页 … 第 20 页

近期文章

  • HER2新药Zongertinib
  • 泛KRAS抑制剂RMC-6236
  • 肺癌新药NVL-520获突破性疗法认定
  • Nature:超越CAR-T,TRBC1 ADC来了
  • 5天让恶性脑瘤几乎消失的CAR-T疗法。

推荐文章

  • 1TP53基因突变怎么办?有什么靶向药?
  • 2血液检测T790M突变靠谱吗?
  • 3基因突变检测报告应如何解读?
  • 4有T790M突变,医生还是写下了“建议化疗”四个字
  • 5关于基因突变检测,其意义是什么?

分类目录

  • EGFR基因突变
  • T790M突变
  • TMB
  • 基因突变检测
  • 新药资讯
  • 靶向药基因检测

热门标签

BRAF T790M突变检测 PD-L1 M7824 ctDNA TGF-β 华大基因 TAS6417 溶瘤病毒 第二代PD1 燃石 卡博替尼 基因知识 MRD U3-1402 艾氟替尼 基因检测公司 NGS 免疫治疗 TP53
  • 斗小癌

关注我们

Copyright ©2018-2020  肺爱团  版权所有.冀ICP备17019527号
  • 文章目录
  • 繁
  • icon